Especialistas en Neurocirugía y Neurofisiología Clínica
NeuroQX
NeuroQxCanarias nace como un grupo de profesionales médicos del ámbito de las Neurociencias que busca dar a los pacientes un tratamiento a la vanguardia de la medicina del siglo XXI. Somos especialistas en las patologías del sistema nervioso, tanto espinal como craneal.Patologías
En NeuroQxCanarias damos soluciones avanzadas a la patología espinal y craneal
Fractura vertebral
La fractura vertebral es una entidad patológica que puede ocurrir en el contexto de diversas situaciones.Hernia discal cervical
Una hernia discal cervical es la salida del disco intervertebral hacia el canal raquídeo.
Lumbalgia
La lumbalgia o lumbago es el dolor que se localiza en la parte baja de la espalda (región lumbar).Técnicas
Lorem ipsum dolor sit amet, consectetur adipiscing elit, sed do eiusmod tempor incididunt ut labore et dolore magna aliqua. Ut enim ad minim veniam, quis nostrud exercitation ullamco laboris nisi ut aliquip ex ea
- Commodo consequat. Duis aute irure dolor in reprehenderit in volu.
- Esse cillum dolore eu fugiat nulla pariatur. Excepteur sint occaecat.
Fracturas vertebrales
Existen diferentes alternativas para el tratamiento de las fracturas de la columna torácica y lumbar.Artrodesis
La cirugía de artrodesis lumbar posterior es un procedimiento que consiste en fusionar dos vértebras lumbares.Técnicas
Artrodesis
La cirugía de artrodesis lumbar posterior es un procedimiento que consiste en fusionar dos vértebras lumbares.Fracturas vertebrales
Existen diferentes alternativas para el tratamiento de las fracturas de la columna torácica y lumbar.Craneotomía
La craneotomía es una operación quirúrgica que consiste en extraer un colgajo de hueso para acceder al cerebro.Equipo
Elizabeth Castillo
Jefa de Administación
Dr. Pedro Pérez Lorensu
NeurofisiólogoEn el TAC CRANEAL, sin y con contraste, se observa un gran proceso expansivo intracerebral a nivel fronto-temporal derecho con zonas quísticas...
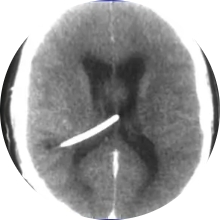
Se realiza un TAC craneal y se observa, una severa hidrocefalia biventricular, secundaria a un voluminoso proceso...
La paciente es intervenida quirúrgicamente bajo control neurofisiológico para preservar la...
El abordaje se realiza a través de una craneotomía pterioral y se utilizan técnicas microquirúrgicas aspirador...
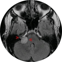
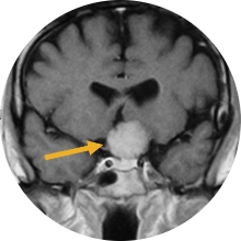
Mujer de 31 años, con crisis fármaco-resistentes desde los 2 años de edad. Sin antecedentes de interés.
Contacto NeuroQx Canarias
"*" señala los campos obligatorios





